
歯を失うということは、
日常の楽しみを
失うことです
歯を失うということは、
日常の楽しみを
失うことです
ブランシュ歯科のインプラント施術は
歯茎の中の基礎をしっかり固め
本来の歯よりも
健康な歯を作ります
ブランシュ歯科のインプラント施術は
歯茎の中の基礎をしっかり固め
本来の歯よりも健康な歯を作ります


失った歯の 代わりになる最も自然な 人工歯です。失った歯の代わりになる 最も自然な人工歯です。
インプラントは 歯茎の骨に人工歯根を埋め込み、 その上に天然歯に似た 人工歯を被せる施術です。 天然歯のように噛むことができ 管理をしっかり行えば、 10年~20年以上使用可能です。インプラントは歯茎の骨に人工歯根を埋め込み、 その上に天然歯に似た人工歯を被せる施術です。 天然歯のように噛むことができ、管理をしっかり行えば、 10年~20年以上使用可能です。
ブリッジ、入れ歯との違い

| 固定力 | 歯茎の骨に固定、揺れなし |
| 噛む力 | 天然歯の80~90% |
| 管理 | 通常の歯磨き+定期検診 |
| 寿命 | 管理時、半永久的 |

| 固定力 | 歯茎の上に乗せる方式 |
| 噛む力 | 天然歯の20~30% |
| 管理 | 毎日着脱洗浄 |
| 寿命 | 5~7年ごとに再製作 |
より健康的に長く使用する人工歯、 インプラント施術で日常の楽しみを取り戻しましょう。より健康的に長く使用する人工歯、 インプラント施術で日常の楽しみを取り戻しましょう。
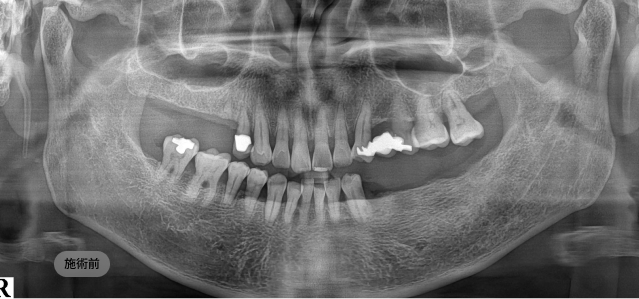
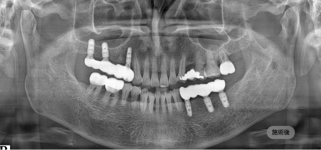
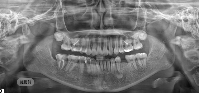
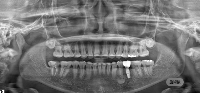
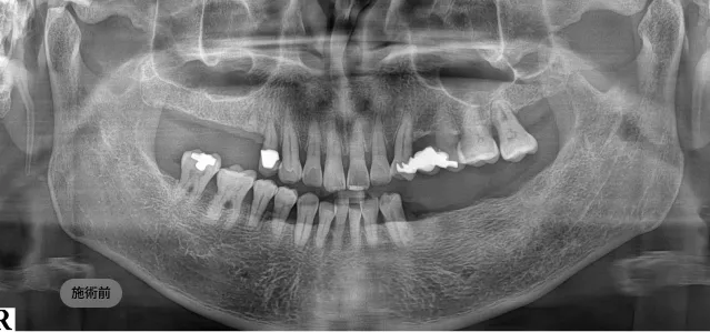
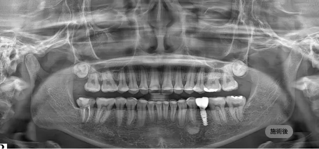
画面をドラッグして前/後を比較してみてください




ブランシュ歯科は検証されたブランド、 100%正規品のみを使用します。

世界販売1位、スイス精密工学の結晶です。独自の表面処理技術により骨との結合速度が速く、長期安定性に優れており、世界的に最も信頼されている高級インプラントです。

韓国内1位、最も多くの歯科医師が選択したブランドです。韓国人の口腔構造に最適化されたデザインと膨大な臨床データを保有しており、信頼できます。

ヨーロッパ輸出1位、強力な固定力を誇ります。骨が弱かったり薄かったりする場合でも、特有のネジ山デザインでしっかりと固定されるプレミアムインプラントです。
痛みの心配なく、 快適な睡眠状態で インプラントを完了します。
事前診断システムでカスタマイズされた睡眠治療を計画し、リアルタイムモニタリングで酸素飽和度、心拍数、血圧をチェックして安全な治療を提供します。
完全無意識の人工呼吸が必要な全身麻酔とは異なり、浅い睡眠状態で自発呼吸を維持する睡眠治療で体に負担がかかりません。
ミダゾラムとケタミンの安全な薬物配合で行われ、正確な用法と用量を守り副作用の問題を遮断します。
睡眠インプラント
痛みの心配なく、 快適な睡眠状態でインプラントを完了します。
安全な睡眠治療システム
事前診断システムでカスタマイズされた睡眠治療を計画し、リアルタイムモニタリングで酸素飽和度、心拍数、血圧をチェックして安全な治療を提供します。
意識下鎮静法
完全無意識の人工呼吸が必要な全身麻酔とは異なり、浅い睡眠状態で自発呼吸を維持する睡眠治療で体に負担がかかりません。
最小容量-最大鎮静効果
ミダゾラムとケタミンの安全な薬物配合で行われ、正確な用法と用量を守り副作用の問題を遮断します。
0.1mmの誤差も許容しない 精密なデジタル機器
迅速で正確な診断機器で 最小限の来院回数で 満足のいく結果をお約束します。
3D CTと口腔スキャナーを用いて骨の状態を精密に分析し、患者様の健康状態を考慮した1:1オーダーメイド治療計画を立案します。
計画された位置に人工歯根(インプラント体)を正確に埋入します。必要に応じて、不足している骨を補う骨造成(骨移植)を同時に行います。
インプラントと歯槽骨がしっかりと結合するまでの期間です。個人差はありますが、通常2~6か月程度を要します。
歯肉の形態を整え、アバットメント(支台)を接続した後、周囲の歯と調和する最終補綴物(頭部)を製作し、装着します。
インプラントを長期的に使用するためには、継続的なアフターケアが不可欠です。定期的な検診とスケーリングにより、インプラント周囲炎を予防し、健康な状態を維持します。
長く、健康に使えるインプラントのために ブランシュ歯科は施術より「設計」を先に考えます。
精密CT、3Dシミュレーションで 正確な骨の状態を分析します。
審美補綴との調和を考慮し 機能と審美を反映した 治療計画を立てます。
インプラントの長期安定性を高めるため、 患者に合わせた維持管理プログラムを 立てます。
インプラント設計
長く、健康に使えるインプラントのために ブランシュ歯科は施術より「設計」を先に考えます。
精密診断
精密CT、3Dシミュレーションで 正確な骨の状態を分析します。
カスタマイズ設計
審美補綴との調和を考慮し 機能と審美を反映した 治療計画を立てます。
維持管理
インプラントの長期安定性を高めるため、 患者に合わせた維持管理プログラムを 立てます。
インプラント、 経験と診療環境、 管理方法も 20年以上の 寿命を決定します。
インプラント、 経験と診療環境、 管理方法も 20年以上の 寿命を決定します。インプラント、 経験と診療環境、管理方法も 20年以上の寿命を決定します。
植えることより 長く保つことが重要です。 ブランシュ歯科は生涯管理する 主治医となります。植えることより長く保つことが重要です。 ブランシュ歯科は生涯管理する主治医となります。
インプラント手術は痛いですか?
インプラントの寿命はどのくらいですか?
インプラントは何本まで受けることができますか?
インプラントの費用はいくらですか?
インプラントを受ける前に禁煙しなければなりませんか?
インプラント周囲炎とは何ですか?
笑顔が アートに なる場所
ブランシュで、 あなたの変化を 始めてください
相談申込
相談予約の申し込み
相談申込