
診療哲学
私たちにとって力になるのは 患者様の明るい笑顔です。 健康で幸せな笑顔を取り戻せるよう、 ブランシュ歯科が共に歩みます。
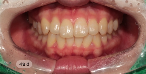
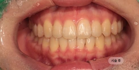
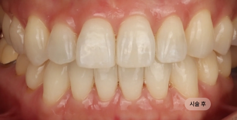
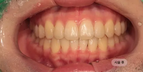
ラミネート治療後の感想
無削合または最小限の削合で完成した笑顔。 あなたの笑顔も、変わります。
画面をドラッグして、前後を比較してみてください












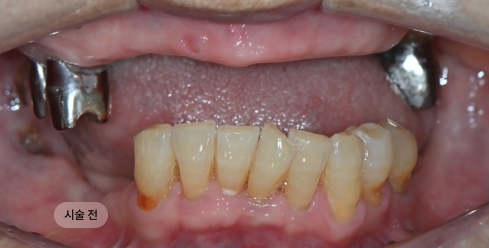
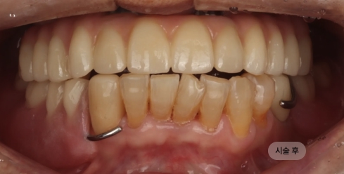
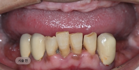
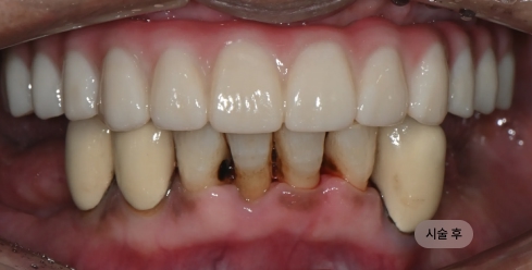
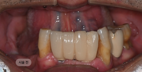
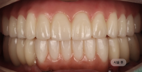
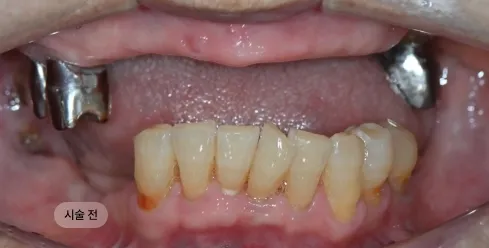
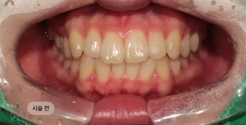
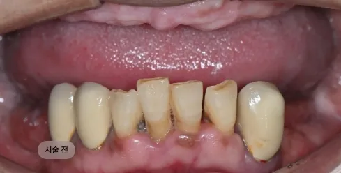
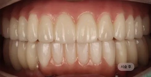
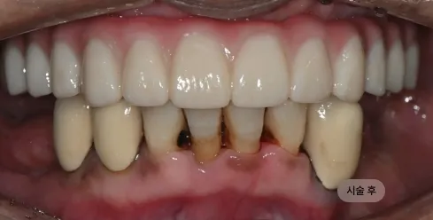
インプラントの体験談
遠方からもご来院いただくブランシュ・インプラント。 睡眠インプラントと精密な最小切開により、 当日中に仮歯まで完成します。
画面をドラッグして、前後を比較してみてください


大邱からソウルまでご来院いただき、当日手術後、仮歯まで装着した50代後半の男性患者様です。ブランシュ歯科でインプラント手術後、明るい笑顔と噛む喜びまで取り戻されました。
大邱からソウルまでご来院いただき、当日手術後、仮歯まで装着した50代後半の男性患者様です。ブランシュ歯科でインプラント手術後、明るい笑顔と噛む喜びまで取り戻されました。


アメリカより韓国のブランシュ歯科へ来院され、SOIインプラントを埋入された患者様です。インプラント完成後は再びアメリカへ帰国。ブランシュ歯科での総入れ歯インプラント手術により、審美性と機能性を取り戻されました。
アメリカより韓国のブランシュ歯科へ来院され、SOIインプラントを埋入された患者様です。インプラント完成後は再びアメリカへ帰国。ブランシュ歯科での総入れ歯インプラント手術により、審美性と機能性を取り戻されました。






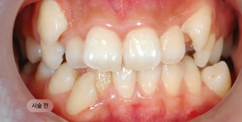
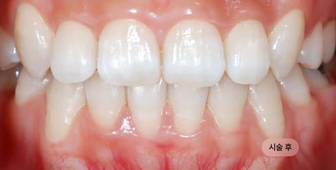
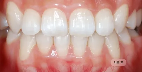
歯列矯正の体験談
年齢と状態に合わせたオーダーメイド矯正、 ブラケットからクリッピーC、インビザラインまで、 ブランシュがサポートします。
画面をドラッグして、前後を比較してみてください






治療体験談
理念
ブランシュ歯科は、痛みや不安を抱えて来院される患者様が 治療の過程を通して、すべての心配から 解放されるようサポートいたします。
ただ技術力の高い歯科医院であるだけでなく、 幸せをお届けできる歯科医院を目指しています。
不安な気持ちの中、勇気を出してご来院くださったことに感謝し、 輝く笑顔と幸せ、そして健康でお応えします。
理念
ブランシュ歯科の理念
ブランシュ歯科は、痛みや不安を抱えて来院される患者様が 治療の過程を通して、すべての心配から 解放されるようサポートいたします。
ただ技術力の高い歯科医院であるだけでなく、 幸せをお届けできる歯科医院を目指しています。
不安な気持ちの中、勇気を出してご来院くださったことに感謝し、 輝く笑顔と幸せ、そして健康でお応えします。
笑顔が アートに なる場所
ブランシュで、 あなたの変化を 始めてください
相談申込
ご相談予約のお申込み
相談申込