
10년 전
아버지의 임플란트를
해드렸습니다
10년 전
아버지의 임플란트를
해드렸습니다
그 마음 그대로,
여러분의 빠진 치아도
최선을 다해
치료하고자 합니다.
그 마음 그대로,
여러분의 빠진 치아도 최선을 다해
치료하고자 합니다.


생로병사의 비밀
KBS <생로병사의 비밀>
‘100세 시대, 구강 건강의 모든 것’편에
김태형 대표원장님이 함께하셨습니다.
생로병사의 비밀
KBS <생로병사의 비밀>
‘100세 시대, 구강 건강의 모든 것’편에
김태형 대표원장님이 함께하셨습니다.
빠진 치아를 대체해 인공치근을 식립하는 방법입니다빠진 치아를 대체해 인공치근을 식립하는 방법입니다
임플란트는 잇몸뼈에 인공 치아 뿌리를 심고, 그 위에 자연 치아를 닮은 인공 치아를 씌우는 시술입니다. 자연치아를 대체하며, 제대로 수술 받으신다면 20년 이상 사용이 가능합니다.임플란트는 잇몸뼈에 인공 치아 뿌리를 심고, 그 위에 자연 치아를 닮은 인공 치아를 씌우는 시술입니다. 자연치아를 대체하며, 제대로 수술 받으신다면 20년 이상 사용이 가능합니다.
브릿지, 틀니와의 차이

| 고정력 | 잇몸뼈에 고정, 흔들림 없음 |
| 씹는 힘 | 자연치아의 80~90% |
| 관리 | 일반 양치+정기 검진 |
| 수명 | 관리 시 반영구적 |

| 고정력 | 잇몸 위에 올려놓는 방식 |
| 씹는 힘 | 자연치아의 20~30% |
| 관리 | 매일 탈착 세척 |
| 수명 | 5~7년마다 재제작 |
더 건강하게 오래 사용하는 인공치아, 임플란트 시술로 일상의 즐거움을 되찾으세요.더 건강하게 오래 사용하는 인공치아, 임플란트 시술로 일상의 즐거움을 되찾으세요.

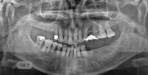
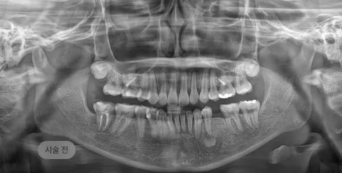
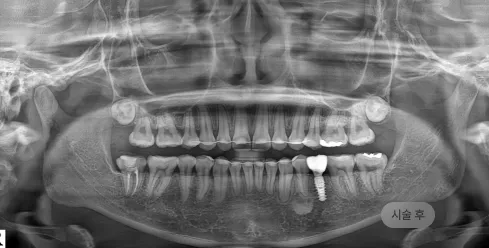
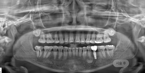
화면을 드래그하여 전/후를 비교해 보세요




블랑쉬치과는 검증된 브랜드, 100% 정품만을 사용합니다

세계 판매 1위, 스위스 정밀 공학의 결정체입니다. 독보적인 표면 처리 기술로 뼈와 붙는 속도가 빠르고 장기 안정성이 뛰어나 전 세계적으로 가장 신뢰받는 명품 임플란트입니다.

국내 1위, 가장 많은 치과의사가 선택한 브랜드입니다. 한국인의 구강 구조에 최적화된 디자인과 방대한 임상 데이터를 보유하고 있어 믿을 수 있습니다.

유럽 수출 1위, 강력한 고정력을 자랑합니다. 뼈가 약하거나 얇은 경우에도 특유의 나사선 디자인으로 튼튼하게 고정되는 프리미엄 임플란트입니다.
통증에 대한 걱정 없이, 편안한 수면 상태에서 임플란트를 완료합니다
사전진단 시스템으로 맞춤형 수면 치료를 계획하고, 실시간 모니터링으로 산소포화도, 심박수, 혈압을 체크하여 안전한 치료를 제공합니다.
완전 무의식의 인공 호흡이 필요한 전신마취와는 달리, 얕은 수면 상태로 자가 호흡을 유지하는 수면치료로 몸에 무리가 가지 않습니다.
미다졸람과 케타민의 안전한 약물 조합으로 진행되며, 정확한 용법과 용량을 지켜 부작용 문제를 차단합니다.
수면 임플란트
통증에 대한 걱정 없이, 편안한 수면 상태에서 임플란트를 완료합니다
안전한 수면 치료 시스템
사전진단 시스템으로 맞춤형 수면 치료를 계획하고, 실시간 모니터링으로 산소포화도, 심박수, 혈압을 체크하여 안전한 치료를 제공합니다.
의식하진정법
완전 무의식의 인공 호흡이 필요한 전신마취와는 달리, 얕은 수면 상태로 자가 호흡을 유지하는 수면치료로 몸에 무리가 가지 않습니다.
최소 용량-최대 진정효과
미다졸람과 케타민의 안전한 약물 조합으로 진행되며, 정확한 용법과 용량을 지켜 부작용 문제를 차단합니다.
0.1mm 오차도 허용하지 않는 정밀한 디지털 장비
빠르고 정확한 진단 장비로 최소한의 내원만으로도 만족스러운 결과를 약속합니다.
3D CT와 구강 스캐너로 뼈 상태를 정밀하게 분석하고, 환자분의 건강 상태를 고려한 1:1 맞춤 치료 계획을 수립합니다.
계획된 위치에 인공 치근(뿌리)을 정확하게 심습니다. 필요한 경우, 부족한 뼈를 채우는 뼈 이식을 함께 진행합니다.
임플란트와 잇몸 뼈가 단단하게 붙는 기간입니다. 개인차에 따라 보통 2~6개월 정도 소요됩니다.
잇몸을 다듬고 기둥을 연결한 뒤, 주변 치아와 조화를 이루는 최종 보철물(머리)을 제작하여 장착합니다.
반영구적인 사용을 위해 꼼꼼한 사후 관리가 필수입니다. 정기적인 스케일링과 검진으로 임플란트 주위염을 예방하고 건강하게 유지합니다.
오래, 건강하게 사용하는 임플란트를 위해 블랑쉬치과는 시술보다 '설계'를 먼저 생각합니다.
정밀 CT, 3D시뮬레이션으로 정확한 뼈 상태를 분석합니다.
심미보철과의 조화를 고려해 기능과 심미를 반영한 치료 계획을 세웁니다.
임플란트 장기 안정성을 높이기 위해, 환자 맞춤 유지관리 프로그램을 세웁니다.
임플란트 설계
오래, 건강하게 사용하는 임플란트를 위해 블랑쉬치과는 시술보다 '설계'를 먼저 생각합니다
정밀 진단
정밀 CT, 3D시뮬레이션으로 정확한 뼈 상태를 분석합니다.
맞춤 설계
심미보철과의 조화를 고려해 기능과 심미를 반영한 치료 계획을 세웁니다.
유지관리
임플란트 장기 안정성을 높이기 위해, 환자 맞춤 유지관리 프로그램을 세웁니다.
임플란트, 경험과 진료 환경, 관리 방법도 20년 이상의 수명을 결정합니다
임플란트, 경험과 진료 환경, 관리 방법도 20년 이상의 수명을 결정합니다임플란트, 경험과 진료 환경, 관리 방법도 20년 이상의 수명을 결정합니다
심는 것보다 오래 유지하는 것이 더 중요합니다. 블랑쉬치과는 평생 관리하는 주치의가 되겠습니다심는 것보다 오래 유지하는 것이 더 중요합니다. 블랑쉬치과는 평생 관리하는 주치의가 되겠습니다
미소가 작품이 되는곳
블랑쉬에서, 당신의 변화를 시작하세요
상담신청
상담 예약 신청하기
상담신청