歯列矯正、 どのような場合に必要でしょうか?
ボタンをクリックして事例を確認してください
不正咬合は、見た目の問題だけではありません。
放置すると、咀嚼機能の低下や歯の摩耗、
さらには顎関節症の原因になることがあります。
矯正は、 歯の健康を守る道です。


矯正は、単に歯を動かすだけではありません。 骨格や顎関節、顔全体のバランスまで考慮した、精密な設計が必要です。 だからこそ、矯正は矯正歯科専門医に任せるべきなのです。
ブランシュ歯科は20年以上の経験を持つ
矯正歯科専門医が診療します
日本の歯科医師のうち、わずか4〜5%しか修了できない
矯正歯科専門医研修課程を修了。
10,000人以上の顔と歯列を診察・矯正してきた豊富な臨床経験。

院長 ペク・ジュヒ

院長 パク・ギョンリ
ブランシュ歯科の矯正は、 歯の健康も、仕上がりの美しさも、 どちらも見逃しません
歯列の乱れや骨格の不調和を改善し、 審美性と健康を同時に高めます。
「正規品」のインビザラインと第2世代クリッピーC、 高価なインビザライン専用スキャナーを 使用しています。
状況、年齢に合わせた 最適な矯正を設計します

歯並びだけでなく、フェイスライン、 咀嚼機能まで改善します。

顎の骨と顔の形が形成される時期、 細やかな矯正が必要です。

全体矯正が負担な場合、 必要な部分だけを集中矯正できます。
柔らかく正確なSmartTrack素材と
デジタルワークフローが
インビザラインが他と違う理由です
ブランシュ歯科が提案する 成人オーダーメイド矯正装置
歯並びを超えて、 フェイスラインや咀嚼機能まで。 顔全体の調和を取り戻します。

誰にも気づかれない透明な矯正。
個人に合わせて製作される
透明な素材の矯正装置で、
取り外しが可能で
食事や歯磨きも不自由がありません。

速くて快適なセラミック矯正。
スライディングドア方式の
セルフライゲーションシステムで痛みを最小限に抑え、
歯の色に近いセラミック素材で
自然な見た目を実現します。
インビザライン歯列矯正、 一般のマウスピース矯正とは異なります
マウスピース矯正はすべて同じではありません。 技術力、素材、矯正可能範囲において 大きな差があります。

| 製造 | 米国本社 (人工知能(AI)及びロボットによる一括製作) |
| 素材 | 特許取得済みのSmartTrack (弾性と密着力に優れる) |
| 範囲 | 抜歯、不正咬合などの複雑な症例も可能 |
| システム | ClinCheckソフトウェアで全過程シミュレーション |
| 固定 | アタッチメント装着による歯の移動の精密制御 |

| 製造 | 国内外の歯科技工所 (手作業/小規模製作) |
| 素材 | 一般的なプラスチック素材 (PET-G) |
| 範囲 | 前歯などの軽微な単純症例に限定 |
| システム | 段階ごとに型取りして製作 |
| 固定 | 装置の力だけで移動 (制御に限界) |
柔らかく正確なSmartTrack素材と
デジタルワークフローが
インビザラインが他と違う理由です
インビザライン歯列矯正、 精密な装備で設計します
ブランシュ歯科は高価な専門装備である iTero(アイテロ)デジタル口腔スキャナーで より正確で、より快適な診断を提供します。

冷たい印象材を使わずスキャナーだけで 高解像度3D画像を取得します。
3Dシミュレーションで矯正後の変化を 事前に確認できます。
デジタルスキャンデータで、マウスピース型 矯正装置を精密に製作します。
本格的なインビザライン歯列矯正、 専門装備まで備えた ブランシュ歯科にお任せください。
矯正専門装備
インビザライン歯列矯正、 精密な装備で設計します
ブランシュ歯科は高価な専門装備である iTero(アイテロ)デジタル口腔スキャナーで より正確で、より快適な診断を提供します。
型取りなしで、速く正確に
冷たい印象材を使わずスキャナーだけで 高解像度3D画像を取得します。
治療前、結果を目で確認
3Dシミュレーションで矯正後の変化を 事前に確認できます。
データに基づく精巧な設計
デジタルスキャンデータで、マウスピース型 矯正装置を精密に製作します。

本格的なインビザライン歯列矯正、 専門装備まで備えたブランシュ歯科にお任せください
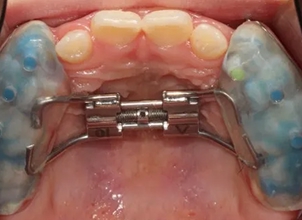
お子様の矯正、 ブランシュ歯科は多角的にアプローチします
小児矯正は時期と方法が非常に重要です。 最新の専用装置を使用し、お子様の成長に合わせた最適な治療を提供します。
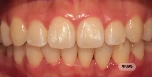
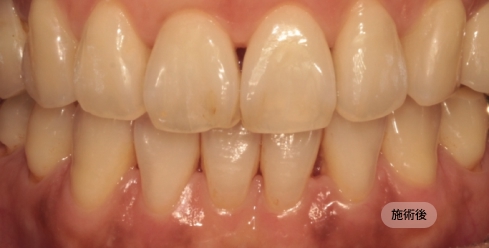
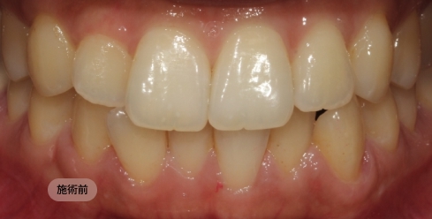
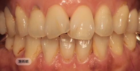
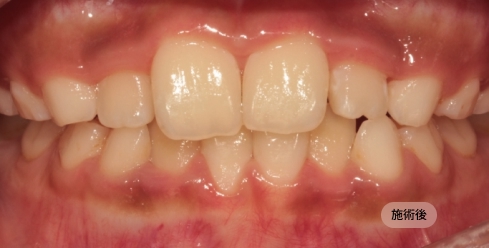
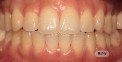
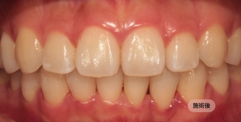
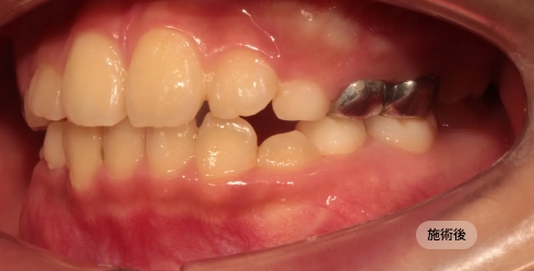
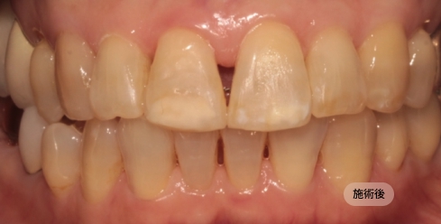
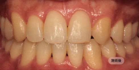
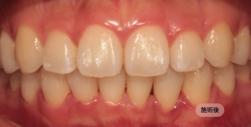
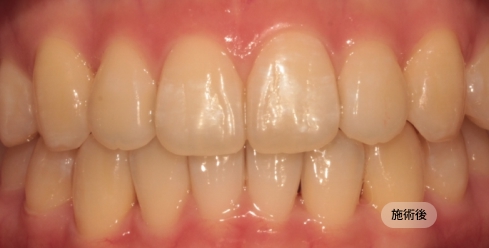
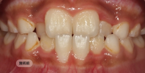
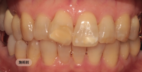
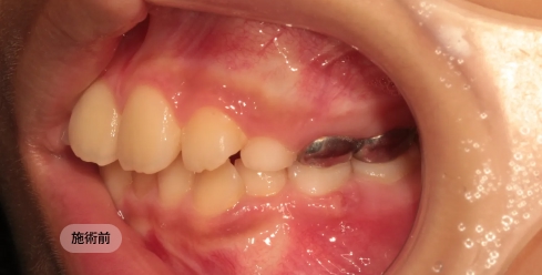
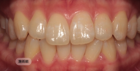
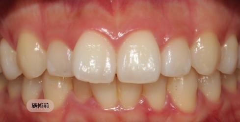
ブランシュ歯科の矯正治療の結果をご確認ください
画面をドラッグして、治療前後の変化を比較してみてください。


















相談予約の申し込み
笑顔が 作品に なる場所
ブランシュで、 あなたの変化を 始めてください
フォーム入力は不要です。LINEから直接メッセージをお送りいただければ、すぐに対応いたします。
LINEで相談するフォーム入力は不要です。LINEから直接メッセージをお送りいただければ、すぐに対応いたします。
LINEで相談する