どんなに丁寧に飾っても、小さな歯が自分の自信を削いでいませんか? 矮小歯は歯列のバランスを崩し、全体の対称性が崩れて見えるようにします。原因から解決しなければならないのに、無闇にレジンやクラウンを選択し、より大きなストレスを受ける方、本当に多いです。 矮小歯の治療の定番は別にあります。矮小歯の定義から間違った治療法、そして正しい治療事例まで、この記事ですぐにご確認ください。
【韓国歯科】矮小歯(小歯)治療の定石、矯正とラミネート加工
矮小魚とは?

– 通常、先端が少し内側に丸まった、米粒のような形をしています。
– 主に上顎の前歯のすぐ隣の歯(側切歯)に多く見られます。
– 先天的に歯が小さく生まれたり、成長過程で発育が不十分な場合に発生します。
小臼歯は咀嚼機能に大きな影響はありませんが、歯が小さいため、次のような問題があります。
- 左右に空洞ができ、周囲の歯が傾いたり、移動する問題につながる可能性があります。
- 空いた隙間に食べ物が挟まって歯茎が弱くなることもあります、
- スマイルライン全体が不均衡に見えるという審美的な問題にもつながります。
時折、小臼歯のように見えても乳歯である場合があります。この場合、治療計画が全く異なる場合がありますので、正確な診断が何よりも重要です。
どのような治療を選択するかが結果を左右するため、まずは避けるべき治療法からご紹介します。
矮小歯、このまま治療すると後悔します。

通常、矮小歯の治療というと、レジンとクラウンを思い浮かべがちです。比較的費用が安く、早く解決できそうだからでしょう。 しかし、この2つの方法には明確な限界があります。
一時しのぎに過ぎない「小歯レジン治療」。
簡単に言えば、レジンは柔らかい状態の材料を歯に直接貼り付けて固める方法です。 当面の形状修正は可能ですが、矮小歯の両側の空洞をレジンで埋めると、時間が経つにつれて次のような問題が発生します。
- 歯の上に材料を追加するため、歯とレジンの境界部分が少しはみ出ることがあります。
- 境界部分に食べ物が詰まって歯茎の炎症が起こり、最終的に歯茎が下がってしまいます。
- レジンは着色が早く、寿命も3~5年と短く、数年後に再治療をしなければならない状況が繰り返されます。
このように、レジン治療は問題を覆い隠すだけで、根本的な解決にはなりません。
歯の削除量が多い「矮小歯のクラウン治療」。
クラウンは、歯をたくさん削って被せる方法なので、小歯には特に不向きです。 歯は一度削ってしまえば終わりです。ただでさえ小さい歯をさらに削ってクラウンをかぶせると、自然な歯がほとんど残らなくなります。
クラウンが治療に適さない理由をまとめると、
- 歯の削除量が多すぎて、小さな歯に負担がかかります。
- 根が細く、支持力が弱い場合が多く、クラウンを支える構造的基盤自体が不足しています。
- クラウンの寿命が尽きたら、再び歯を削り、新しいクラウンを被せる必要があります。
繰り返しの削除は、歯の寿命そのものを短くします。最初からきちんとした治療計画が必要な理由でもあります。 そのため、小臼歯ほど歯の削除を最小限に抑え、長期的に安定した方法を選択する必要があります。
では、矮小歯をどのように治療すべきか、今すぐお伝えします。
矮小歯治療の定番は、矯正とラミネート加工
小歯の治療には順序があります。スペースが不足している場合は、矯正で歯のスペースを確保し、ラミネートで形を完成させる必要があります。 この2つのステップをきちんと踏むことで、審美的にも機能的にも満足のいく結果が得られます。
まず、矯正とラミネートを併用した治療例をご紹介します。
小歯矯正+ラミネート治療症例
1次校正による空間整理

2次ラミネートで形が完成

矮小歯ラミネート加工で小さくて変形した歯の大きさを復元した前後
- 状態20代女性の患者さんで、前歯が広がった前歯と矮小歯が一緒に生えていた症例です。一方の犬歯の位置に乳歯が残っており、全体的な歯列のバランスが崩れていました。
- ブランシュ治療矯正でスペースを整えた後、ラミネートで仕上げました。順番は以下の通りです。
2. ミニチューブブラケットを使用した部分矯正で素早く行います。
3. 透明矯正で仕上げることで、歯と歯の間をよりタイトにします。
4. 矯正完了後、乳歯の歯列は歯肉形成でラインを整え、ラミネートで形を整えました。
- 完成写真を見ると、空いていたスペースが自然に埋まっています。歯の大きさがバランスよく揃い、全体の歯並びがぐっと整いましたね。 矯正開始から終了まで約5ヶ月、患者様も結果に大変満足された症例でした。
以下は、歯を全く削らずに、無削りラミネートで治療した症例です。
ダイスキーのラミネート事例

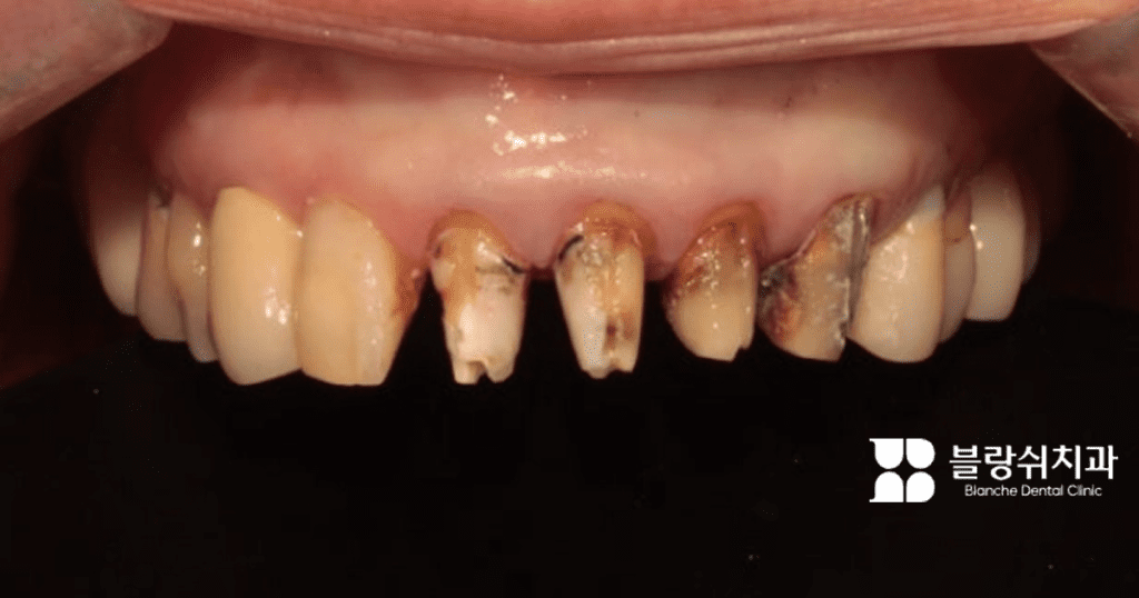
- 状態両側切歯が小臼歯だった男性患者様の症例です。 前歯の間をレジンで塞いだ状態でしたが、周囲の歯茎が腫れており、変色も進行している状態でした。 そのため、歯が見えることを嫌がるようになりました。
- ブランシュ治療 この方のように両側が空いている小臼歯の場合、完全無削りでラミネートが可能です。既存の前歯のレジンを除去し、デジタルスキャンで精密にセラミックを製作した後、「ブランシュ」上4本を装着しました。歯を1本も削らず、コンプレックスを改善できるため、小歯の治療に最適です。
- 完了レジン除去、補綴物製作、ブランシュの装着の3つのステップで治療が終了しました。 上の歯だけが変わっただけで、全体的な印象が明るくなり、笑顔に自信が持てるようになりました。 患者さんの満足度はかなり高いです。
実際の治療写真を見ると、前後の違いがよくわかりますよね? そのため、矮小歯には、矯正+ラミネートの組み合わせ、または無削りラミネートが最もおすすめです。代表的な芸能人の治療例も見てみましょう。
ダク、ディーシーで言及されるミンソク(シウミン)ダイスキ
小顔を大衆に広めた代表的な芸能人は、EXO(エクソ(EXO)のシウミン(ミンソク)です。シウミンの小顔はデビュー当初から有名でした。おかげで、小人症という言葉そのものが世間に広く知られるようになりました。

写真出典(ラミネート前の写真-ダクコミュニティ、ラミネート後の記事写真-アジア투데이)
歯並びを見ると、側切歯が小さく歯と歯の間が目立つのですが、むしろ可愛くてユニークな魅力ポイントとしてファンに愛されました。 その後、映画撮影を控えてラミネート加工を受けたと言われています。 おそらく芸能人の特性上、カメラのクローズアップが多く、スクリーンでの印象管理が重要だったためと思われます。施術前後の写真を見ると、歯列のバランスが整い、スマイルラインが明るくなったことが確認できます。
ディーシーサイドやダクなどのファンコミュニティでは、ラミネート前のシウミンの矮小化した姿を懐かしむ声もありますが、明るくなった笑顔に満足している人が多いようです。
小歯は誰かにとっては魅力であり、誰かにとってはコンプレックスかもしれません。特にコンプレックスに感じないのであれば、あえて治療しなくても大丈夫です。 文字通り、治療は個人の選択です。
矮小歯、歯を傷つけずに治療する必要があります。

矮小歯、一度間違えると事実上取り返しがつきません。 小臼歯のような小さな歯ほど、できるだけ自然な歯を保存する必要があります。 そのため、より慎重で、適切なアプローチが必要です。
歯の横の空きスペースが十分であれば、削らないラミネートの「ブランシュ」で解決できます。もし歯並びを整える必要がある場合は、まず矯正、次にラミネートです。ブランシュ歯科では、どちらの場合も歯を最大限に生かす方向で治療計画を立てます。
治療は一度、後悔は一生です。 同じ小臼歯でも位置や歯列の状態によってアプローチが異なるため、正確な診断が先決です。適切な小臼歯治療をご希望の方は、今すぐご相談ください。