풀아치 임플란트

임플란트 식립

30211

2020.02.17 ~ 기준

고위험군 환자도 가능한 네비게이션 임플란트
implant02

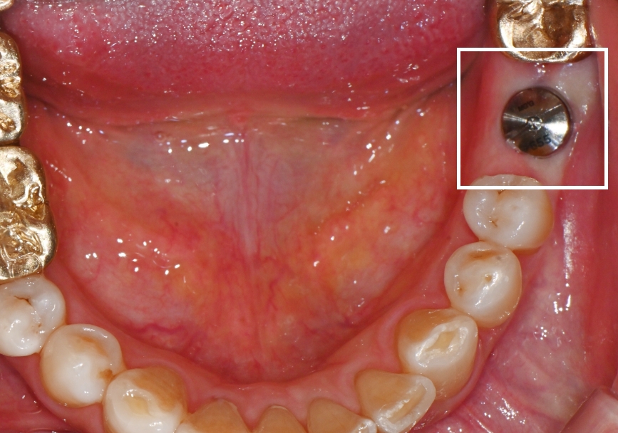
틀니보다 좋은
디지털 풀아치 임플란트

3차원 디지털 CT,구강스캐너를 활용하여
정확한 위치에 식립하는 블랑쉬치과의 기술력

식립 당일 식사가 가능한 임플란트 수술로,
수술 후 3주~3개월 안에 모든 수술이 끝나며 비용이 절감됩니다.

VIEW MOREVIEW MORE

* 수술 직후 영상

통증, 출혈, 붓기가 최소화된 블랑쉬 무절개 임플란트
블랑쉬치과의 무절개 전용 임플란트는 1개 식립 시 2~3분 미만 소요되는 단축된 수술과정으로 환자의 불편감을 최소화합니다.

통증, 출혈, 붓기가 최소화된
블랑쉬 무절개 임플란트

블랑쉬치과의 무절개 전용 임플란트는 1개 식립 시 2~3분 미만
소요되는 단축된 수술과정으로 환자의 불편감을 최소화합니다.

식립 이후 수술 당일에도 외식이나 모임이 가능할 정도로 편안하며
임플란트 수술 경험 없이 막연한 공포로 치과의 문턱을 넘지 못하는 분들,
다른 치과에서 힘든 수술경험으로 다시 임플란트 치료 받기 두려운 분들,
입이 잘 안 벌어져서 장시간 진료가 힘든 분들에게 적극 추천 드립니다.

블랑쉬치과
Blanche Digital Equipment

0.1mm 오차없는 진료를 위한
정확한 디지털 장비

블랑쉬는 빠르고 정밀한 진단장비를 통해 환자분들께서
최소내원으로도 만족하실만한 결과를 약속합니다.

3D 구강스캐너

3D 구강스캐너

PRIME SCAN

번거롭게 본 뜨는 과정을 없애고 보다 정확하고 빠른 스캔이 가능한 장비

3D CT

3D CT

덴츠플라이 시로나 프라임스캔

프리미엄 3D 카메라로 스캔을 편리하고 빠르고, 쉽게 가능한 CT 장비

원내기공장비

원내기공장비

덴츠플라이 시로나

정밀한 온도 제어 기능이 가능한 고품질 기공장비

원내기공장비

원내기공장비

Inlab MC-XL

기공에 필요한 밀링기로 빠른 속도와 정교함으로 우수한 효율성의 기공장비

무통마취기

무통마취기

오스템 Slow Jec

마취부터 안아프게, 편안한 치과치료가 가능합니다.

이전다음
블랑쉬 수면 임플란트
블랑쉬치과의 임플란트 브랜드
Blanche Implant

블랑쉬치과의 임플란트 브랜드

블랑쉬치과는 검증된 브랜드의 100% 정품만을 사용합니다.

01  스트라우만

스트라우만 임플란트는 정밀 공학이 발달한 나라 스위스 제품이며
40년간 1000가지 이상의 임상 연구 기록을 보유한
70여개 국에서 가장 신뢰받는 임플란트 브랜드입니다.

표면 SLA surface 특수 기술 처리 5mm보다 얇은 두께로 식립 가장 낮은 임플란트 주위염 발병률
02  오스템 (BA, SOI)

오스템 임플란트는 빠른 뼈 형성으로 치료기간을 단축시키고 실패 확률을 줄입니다.

OSSTEM BA - 잇몸뼈에 식립되는 영역에 친수성 나노코팅이 되어있어 빠른 혈액 흡수 및 뼈 형성 촉진
OSSTEM SOI - 기존 표면 대비 130배의 단백질이 붙어 잇몸뼈를 더 빠르게 형성

치료기간 단축 종류가 다양하여 환자 맞춤 가능 외부 이물질에 대한 저항력이 높음
03  메가젠

칼날과 같이 설계된 고정체를 통해 단단하게 식립되어 경우에 따라
수술 당일 크라운까지 수복이 가능합니다. 표면의 칼슘 이온이 잇몸뼈 생성을
촉진시켜 치아 뿌리 역할을 하는 고정체를 더 튼튼하게 잡아줍니다.

빠른 뼈 재생력 및 높은 수술 성공률 특허받은 기술력으로 튼튼하게 식립 3D 시술로 정확도에 안전성이 높음
Blanche Philosohy Of Care

블랑쉬치과를 찾아주신 분들

리뷰01
리뷰02
리뷰03
리뷰04
리뷰05
리뷰06
리뷰07
리뷰08
리뷰09
리뷰10
리뷰11
리뷰12
리뷰13
리뷰14
리뷰15
리뷰16
리뷰17
리뷰18
리뷰19
Blanche
bnaline

블랑쉬만의 기술력, 치료 전후를 지금바로 확인해보세요.

VIEW MORE
BeforeAfter
버튼을 움직여 변화를 확인해주세요.

50대 후반 남성, 전체 임플란트

대구에서 서울까지 내원하셔서 당일 수술 후 임시치아까지 붙여드린
50대 후반 남성 내원 환자분입니다.
블랑쉬치과에서 임플란트 수술 후 환한 미소와 씹는 즐거움까지 되찾으셨습니다.

50대 후반 남성, 임플란트+라미네이트 케이스 2023.07.20 ~ 2024.03.14
BeforeAfter
버튼을 움직여 변화를 확인해주세요.

70대 후반 남성,전체 임플란트

미국에서 한국까지 블랑쉬치과를 찾아 내원하여 SOI 임플란트 식립하셨으며
임플란트 완성 후 다시 미국으로 돌아가신 환자분으로
블랑쉬치과에서 전체 임플란트 수술 후 심미적인 부분과 기능성까지 되찾으셨습니다.

70대 후반 남성, 임플란트 케이스 2023.11.29 ~ 2024.05.13

0150대 남성, 전체 임플란트 (상악)

2023.07.29 ~ 2023.12.28
BeforeAfter
버튼을 움직여 변화를 확인해주세요.

0250대 남성, 전체 임플란트 (하악)

2023.08.29 ~ 2024.04.02
BeforeAfter
버튼을 움직여 변화를 확인해주세요.

0350대 남성, 3개 제외 전체 임플란트 (상악)

2023.07.20 ~ 2023.11.23
BeforeAfter
버튼을 움직여 변화를 확인해주세요.

0450대 남성, 전체 임플란트 (하악)

2023.11.13 ~ 2024.03.21
BeforeAfter
버튼을 움직여 변화를 확인해주세요.

0560대 남성, 전체 임플란트 (상하악)

2023.09.04 ~ 2024.04.17
BeforeAfter
버튼을 움직여 변화를 확인해주세요.

0660대 남성, 전체 임플란트 (상하악)

2023.08.10 ~ 2024.01.22
BeforeAfter
버튼을 움직여 변화를 확인해주세요.

0760대 여성, 전체 임플란트 (상하악)

2023.07.17 ~ 2024.01.16
BeforeAfter
버튼을 움직여 변화를 확인해주세요.

0870대 남성, 전체 임플란트 (상하악)

2023.08.22 ~ 2024.02.19
BeforeAfter
버튼을 움직여 변화를 확인해주세요.

환자 상태에 따라서 출혈, 통증, 붓기의 정도가 다를 수 있으며
염증 등 부작용이 발생할 수 있습니다.