“라미네이트 하지 마라.” 조금만 검색해도 이런 글부터 보입니다. 부작용 사례만 봐도 하면 안 될 것 같이 느껴지죠. 아이러니하게도 잘된 라미네이트는 티가 거의 나지 않고, 망한 결과만 유독 눈에 띕니다.
라미네이트 하지마라! 경고하는 진짜 이유들
라미네이트를 11년 동안 연구해 온 치과의사로서 말씀드리면, 시술 자체가 문제인 경우는 생각보다 많지 않습니다. 문제는 ‘내 치아 상태를 고려하지 않은 잘못된 방식’입니다. 그래서 어떤 곳을 피해야 하는지 아는 것이 중요합니다. 라미네이트 절대 하지 말아야 할 이유, 이 글에서 솔직하게 말씀드리겠습니다.
‘라미네이트 하지마라’ 경고하는 진짜 이유 5가지

사실 이런 말들은 괜히 나온 게 아닙니다. 잘못된 시술로 피해를 겪은 분들의 경험에서 나온 경고입니다. 라미네이트를 아무데서나 받으면 어떤 문제가 생길 수 있는지 5가지로 정리해보겠습니다.
- 한 번 깎인 치아는 되돌릴 수 없습니다. 삭제한 치아는 절대 다시 살릴 수 없습니다. 문제는 의료진마다 삭제량 기준이 다르다는 거예요. 어떤 곳은 0.3mm, 어떤 곳은 1mm 이상 깎기도 합니다. 많이 깎을수록 나중에 생기는 문제도 커지게 되죠.
- 시림, 염증, 탈락 같은 부작용이 생깁니다. 치아를 많이 깎으면 차갑거나 뜨거운 음식에 시린 증상이 생길 수 있습니다. 이뿐만이 아니에요. 라미네이트 경계가 잇몸을 자극하면 염증이 생길 수 있고, 접착이 불완전하면 탈락할 수도 있습니다.
- 충치 발견이 늦어질 수 있습니다. 접착이 잘 안됬거나, 기공 시 제작 퀄리티가 안 좋은 경우 라미네이트 경계에 틈이 생깁니다. 이 때, 틈 사이에 세균이 침투해 충치가 생길 확률이 높아집니다. 세라믹이 치아를 덮고 있어 초기에 놓치고 뒤늦게 발견되는 것이 큰 문제인데요. 이 경우 치료 과정이 더 번거로워질 수 있습니다.
- 재료 수명이 짧으면 결국 더 비싸집니다. 라미네이트는 반영구 시술이지만, 재료 품질이 낮거나 관리가 안 되면 5년도 못 갑니다. 재시술을 반복하면 처음보다 치아 삭제량이 늘어나고, 비용과 시간도 배로 들어갑니다.
- 갈수록 부자연스러워집니다. 두께 계산 없이 붙이면 입이 앞으로 튀어나온 느낌이 들 수 있어요. 색이 너무 하얗거나 크기가 맞지 않으면 오히려 인위적인 인상이 강해집니다.
이렇게만 봐서는 감이 잘 안 오시죠? 시술을 잘못하면 어떤 결과를 낳는지 실제 사례를 통해 소개해 드리겠습니다.
라미네이트 후회, 실제 경험자들이 말하는 이야기
타 치과 시술 후 위아래 앞니가 맞물리지 않았던 여성 환자 사례

얼마 전, 타 치과에서 라미네이트를 받은 지 한 달 된 환자분이 내원했습니다. 앞니가 항아리처럼 볼록하고, 입이 바깥쪽으로 심하게 돌출된 상태였죠. ‘ㅈ’발음이 되질 않아 일상적인 대화도 불편한 상황이었습니다. 이런 경우 대부분 처음 설계 단계에서 치아 각도나 얼굴 비율을 제대로 고려하지 않았을 가능성이 큽니다. 비순각을 고려하지 않고 라미네이트를 하면 이렇게 당나귀처럼 보이는 치아를 갖게 될 수도 있어요.

더욱이 이 환자분의 경우 위아래 앞니가 서로 닿지 않아 라면도 못 끊을 정도로, 앞니 기능을 상실한 상태였습니다. 안타깝게도, 라미네이트 하나로 입 안의 이물감부터 외모 스트레스, 앞니의 기본 기능까지 영향을 받은 케이스입니다. 이럴 때 돈은 돈대로 쓰고, 스트레스는 스트레스대로 받게 되죠.
저는 이런 사례를 보면, ‘왜 이렇게 많이 튀어나오게 제작했을까?’하는 생각이 먼저 듭니다. 일반인에게 가장 많이 보이는 안타까운 라미네이트 케이스죠.
아름다운 디자인을 위한 첫 설계의 중요성을 말해줍니다. 라미네이트, 절대 ‘아무데서나’ 하지 마세요.
라미네이트 대신 대안이 되는 치료들

물론 라미네이트 말고 다른 선택지도 있습니다. 원하는 결과에 따라 적합한 치료를 선택할 수 있는데요. 대표적인 치료 방법들을 간단히 살펴보겠습니다.
- 치아 교정 치아 배열 자체를 바꾸는 방법으로, 부작용 걱정이 가장 적습니다. 기간은 짧아도 1년, 길면 2~3년이 걸리죠. 참고로 블랑쉬에도 20년 경력의 베테랑 교정 전문의가 있습니다. 다만, 교정만으로 치아 색이나 모양까지 바꿀 수 없습니다. 눈에 띄는 개선을 원한다면 라미네이트를 따라오긴 어렵습니다.
- 치아 미백 비교적 간단하게 할 수 있고 치아를 깎지 않아도 됩니다. 그런데 효과가 일시적이에요. 커피, 와인, 흡연 등으로 다시 착색되고, 내인성 변색이나 선천적으로 어두운 치아에는 효과가 제한적입니다.
- 레진 저렴하고 당일 시술이 가능합니다. 하지만 세라믹보다 강도가 낮고, 시간이 지나면 변색이 생겨 결국 교체해야 하는 경우가 많습니다.
즉각적인 심미개선에는 결국 라미네이트만한 게 없습니다. 돌고 돌아 라미네이트가 답이라면, 전문 치과에서 제대로 받으셔야 합니다. 그렇다면 어디서, 어떻게 받아야 할까요?
블랑쉬 라미네이트, 부작용 문의 0건

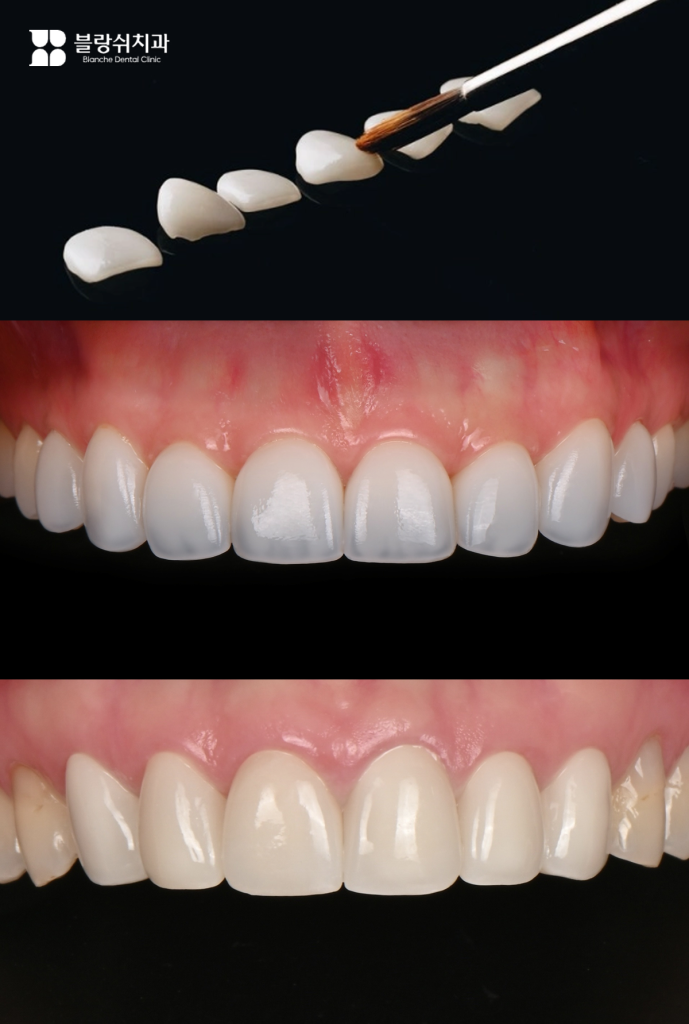
블랑쉬는 서울대 출신 의료진과 블랑쉬랩 연구원이 11년의 임상 연구에 걸쳐 개발한 프리미엄 라미네이트입니다. 지금껏 1만 건이 넘는 블랑쉬 라미네이트를 시술해왔지만, 부작용 문의는 단 한 건도 없었습니다. 라미네이트 부작용 문의 0건, 이 타이틀은 절대 우연이 아닙니다. 처음부터 자연 치아를 지키는 것을 최우선으로 설계했기 때문에 가능한 일이죠.
- 블랑쉬의 세라믹 두께는 0.1mm입니다. 성인 손톱 두께의 5분의 1 수준이에요. 압도적인 기술력으로 얇게 만들어 치아를 거의 깎지 않아도 됩니다.
- 두께가 얇아도 내구성이 확실합니다. 블랑쉬는 자연치와 가장 유사한 100% 스위스산 펠드스파 세라믹만 사용합니다. 굴곡강도도 일반 재료보다 3배 높아요. 10년 이상 경력의 세라믹 스페셜리스트가 직접 담당하는 만큼 내구성까지 잡은 초정밀 가공이 가능합니다.
- 블랑쉬치과 원장이 직접 시술합니다. 상담부터 마이크로미터 단위의 얇은 접착까지, 전 과정을 제가 직접 진행합니다. 한 치의 오차도, 실수도 허용하지 않기 위해서죠.
블랑쉬치과의 프리미엄 라미네이트인 ‘블랑쉬’는 처음부터 부작용의 원인을 없애기 위해 설계됐습니다. 오로지 치아만 생각하면서 11년간 연구한 만큼, 환자의 만족도로 증명되고 있습니다.
라미네이트 하지마세요. ‘아무데서나’

다시 한 번 말씀드립니다. 후회하고 싶지 않다면, 라미네이트 ‘아무데서나’ 하지 마세요. 한 번 삭제한 치아는 되돌릴 수 없습니다. 처음부터 제대로 된 곳에서 받으셔야 하는 이유입니다. 라미네이트의 처음을 블랑쉬와 함께 하셨으면 합니다.