임플란트를 고민하다가 “네비게이션이 더 정확하다던데 꼭 해야 할까?”, “무절개라 덜 아프다는데 다 가능한 건가?” 이런 생각을 한 번쯤 해보셨을 겁니다. 하지만 네비게이션 임플란트는 환자가 선택하는 것이 아니라, 의료진이 환자의 상태를 정밀하게 진단한 후 적합하다고 판단될 때 권장하는 치료 방법입니다. 이 글에서는 네비게이션 임플란트가 무엇인지, 어떤 경우에 의료진이 이 방법을 선택하는지, 그리고 모든 사람에게 적용되는 방법은 아닌 이유까지 기준 중심으로 정리했습니다. 내 상태에서 네비게이션이 적합한 선택인지, 그리고 네비게이션 임플란트의 장점에 대해 오늘 이 글을 통해 확실하게 정리해 드리겠습니다.
디지털 네비게이션 임플란트, 무엇이 다를까요? 원리, 장점, 시술과정까지
디지털 네비게이션 임플란트란?

네비게이션 임플란트는 디지털 임플란트 또는 3D 임플란트라고도 불립니다. 자동차 운전 시 네비게이션이 길을 안내하듯이, 임플란트 식립 시 최적의 수술 경로를 미리 계획해서 정확한 위치에 식립하도록 돕는 방법입니다.
모든 과정은 3D CT와 구강 스캐너 같은 디지털 장비로 환자의 잇몸뼈 형태, 신경 위치, 주변 치아 구조를 3차원으로 분석하는 것에서 시작되죠. 이렇게 모은 데이터를 바탕으로 컴퓨터 시뮬레이션을 통해 임플란트가 식립될 최적의 위치, 각도, 깊이를 미리 계획하죠.
그래서 이 계획을 반영한 디지털 수술 가이드를 3D 프린터로 제작합니다. 이 가이드는 실제 수술 시 드릴의 경로를 정확히 안내해서 오차를 줄이고 신경 손상 같은 부작용 위험을 낮추는 역할을 합니다.
디지털 네비게이션 임플란트의 핵심 원리
- 3D CT 촬영: 뼈 구조, 신경 위치를 mm 단위로 정밀 분석합니다
- 컴퓨터 모의 시술: 최적의 식립 위치, 각도, 깊이를 사전 설정해 오차를 50% 이상 줄입니다
- 맞춤형 가이드 제작: 3D 프린터로 환자별 수술 가이드를 만들어 식립 정확도를 높입니다
기존 임플란트와의 차이점, 디지털화와 정밀성
기존 임플란트는 주로 2D X-ray 검사를 기반으로 합니다. 그리고 의사의 경험에 의존해 잇몸을 절개한 후 직접 눈으로 뼈와 신경 위치를 확인하면서 임플란트를 식립하는데요. 그렇기 때문에 집도의의 경험과 숙련도가 결과에 큰 영향을 미칩니다.
하지만 네비게이션 임플란트는 정밀한 3D 데이터와 수술 가이드를 기반으로 진행됩니다. 덕분에 최소 절개나 무절개 시술이 가능한 경우가 많고, 기존 방식보다 회복이 빠르다는 장점이 있습니다.
| 구분 | 기존 임플란트 | 네비게이션 임플란트 |
|---|---|---|
| 진단 방식 | 2D X-ray 기반 | 3D CT 기반 정밀 데이터 |
| 수술 방식 | 잇몸 절개 필수 | 최소 절개 또는 무절개 가능 |
| 정확성 | 의료진 숙련도 의존 | 디지털 계획으로 오차 최소화 |
| 통증·출혈 | 절개로 인한 붓기 발생 | 조직 손상 최소화로 붓기 감소 |
| 회복 기간 | 상대적으로 김 | 빠른 회복 가능 |
| 부작용 위험 | 신경 손상 등 위험 존재 | 주요 부작용 위험 감소 |
| 수술 시간 | 비교적 길 수 있음 | 정밀 가이드로 시간 단축 |
디지털 네비게이션 임플란트의 장점

네비게이션 임플란트는 최적의 경로를 미리 제공하기 때문에 정확성과 안전성, 회복 속도 면에서 여러 장점이 있습니다.
- 통증과 붓기 최소화, 빠른 회복 정밀 데이터로 최적 경로를 미리 계획해 최소 절개나 무절개로 진행하므로 조직 손상과 출혈이 줄고 회복이 빠릅니다.
- 정확하고 안전한 시술 3D 기술로 뼈·신경·혈관을 mm 단위로 분석해 수술 가이드를 제작하므로 오차와 신경 손상 위험을 줄입니다.
- 시술 시간 단축 및 내원 횟수 감소 네비게이션 가이드로 수술 시간과 내원 횟수를 줄이고, 치료 기간도 대폭 단축할 수 있습니다.
- 만성질환 환자에게도 유리 최소 절개로 출혈, 통증, 감염 위험을 줄여 당뇨나 고혈압 환자에게 유리합니다.
누구에게 네비게이션 임플란트가 필요한가요?
네비게이션 임플란트는 모든 경우에 필요한 것이 아닙니다. 복잡한 케이스에서 오차를 줄이고 안전성을 높이기 위한 도구입니다. 블랑쉬치과는 다음과 같은 경우에 네비게이션 임플란트를 권장합니다.
- 당뇨, 고혈압 등 만성질환을 앓고 있는 분
- 여러 개의 임플란트 식립이 필요한 분
- 뼈가 부족하거나 신경이 가까운 복잡한 상태인 분
- 긴 치료 시간을 견디기 힘든 분
- 잦은 내원이 어려운 분
디지털 네비게이션 임플란트 시술 과정

네비게이션 임플란트가 어떻게 진행되는지 간단히 알려드릴게요. 과정을 보시면 왜 정확한 시술이 가능한지 바로 이해하실 수 있습니다.
시술은 크게 세 단계로 이루어집니다.
① 정밀 진단 및 데이터 수집
3D CT와 구강 스캐너로 턱뼈 구조, 신경, 혈관 위치를 입체적으로 분석합니다.
② 가상 수술 설계 및 가이드 제작
수집된 데이터로 컴퓨터 모의 수술을 진행해 최적의 식립 위치를 정하고, 환자 맞춤형 수술 가이드를 3D 프린터로 만듭니다.
③ 가이드를 이용한 정밀 식립
실제 수술 시 가이드를 입안에 장착한 상태에서, 가이드가 안내하는 정확한 경로를 따라 임플란트를 심습니다.
이 방식은 의료진의 감각이나 눈에만 의존하던 기존 시술의 한계를 보완합니다. 신경 손상이나 위치 오차 위험을 줄이는 것이 목적이에요. 일부 연구에서는 네비게이션 임플란트가 일반 수술보다 각도 오차를 약 25%, 깊이 오차를 약 30% 줄였다는 결과도 있습니다.
특히 뼈 구조가 복잡하거나, 고령 환자, 여러 개의 임플란트가 필요한 경우에도 전체 교합과 최종 보철까지 고려한 정밀한 계획이 가능하다는 점이 네비게이션 임플란트의 핵심 장점입니다.
모든 경우에 무절개가 가능한 건 아닙니다
그런데 많은 분들이 “무절개니까 덜 아플 것 같아서” 네비게이션 임플란트를 선택합니다. 하지만 모든 경우에 무절개가 가능한 건 아닙니다. 뼈가 충분하다면 무절개로 진행할 수 있지만, 뼈 이식이 필요하거나 치조골을 넓혀야 하는 경우에는 잇몸 절개가 불가피합니다. 다만 절개를 한다고 해서 통증이 크게 증가하는 건 아니므로, 통증만을 이유로 네비게이션을 고집할 필요는 없습니다.
경험이 풍부한 치과에서는 네비게이션 없이도 임플란트를 정확하게 식립할 수 있습니다. 운전할 때 익숙한 길은 네비게이션 없이도 쉽게 찾아가는 것과 같습니다. 가장 중요한 것은 환자의 뼈 상태, 신경 위치, 치아 배열에 맞는 적합한 방식을 선택하는 것입니다. 단순한 케이스라면 숙련된 의사가 기존 방식으로도 충분히 정확하게 식립할 수 있습니다.
다음으로는 네비게이션 임플란트의 실제 시술 사례 하나를 보여드리겠습니다.
디지털 네비게이션 임플란트 시술 사례

이 환자분은 아래턱 잇몸뼈가 부족한 상태로 내원하셨습니다. 단순히 임플란트만 심기 어려워서 뼈이식이나 치조골을 넓히는 작업이 필요한 상황이었고, 치아 배열이 무너져서 제대로 씹기 어려운 상태였어요.
특히 위쪽 어금니가 오랫동안 없었던 탓에 아래 어금니들이 위로 솟아오르는 현상(정출)이 생겼고, 이 때문에 위아래 치아가 제대로 맞물리지 않아 음식을 씹기가 매우 불편한 상태였습니다.

초기 상태를 보면 치석이 치아를 덮을 정도로 잇몸 염증이 심했고, 치아가 흔들리며 붓고, 시리고, 출혈까지 동반된 상황이었습니다. 가능하다면 자연치를 살리는 게 최선이지만, 이미 잇몸과 뼈가 회복 불가능한 수준까지 손상된 치아였기 때문에 더 큰 문제를 막기 위해 발치를 결정했고, 이후 임플란트로 치료 방향을 잡았습니다.

중간 과정 사진에 보이는 장치가 바로 디지털 가이드(네비게이션 가이드)입니다. CT와 구강 스캔 데이터를 바탕으로 임플란트의 위치, 각도, 깊이를 미리 계산해서 제작한 환자 맞춤형 장치예요. 네비게이션 임플란트에서 핵심적인 역할을 하는 도구죠. 이 가이드를 기준으로 계획된 위치에 임플란트를 식립했습니다.


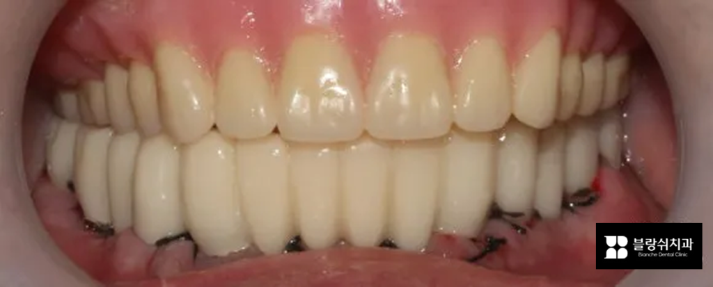
마지막 사진은 아무것도 없던 공간에 임플란트가 식립되고 그 위에 치아색 레진 임시치아가 장착된 모습입니다. 자연치와 완전히 똑같은 느낌은 아니지만, 임시틀니에 비해 고정감과 만족도가 훨씬 높고, 특히 뼈이식이 함께 진행된 경우에는 임플란트가 잘 자리 잡는 데도 도움이 되는 방식으로 알려져 있습니다.
디지털 네비게이션 임플란트 치과 선택 시 확인할 점
그럼, 다음으로 네비게이션 임플란트를 위해 치과를 선택할 때 가장 중요한 3가지에 대해 알려드리겠습니다. 네비게이션을 하는 치과인지 아닌지보다 훨씬 중요한 것들이니 꼭 주의 깊게 봐주세요.
의료진의 숙련도와 디지털 장비 보유 여부

네비게이션 임플란트는 의료진이 디지털 데이터를 어떻게 해석하고 활용하느냐에 따라 결과가 달라집니다. 3D CT와 구강 스캐너로 치조골과 신경·혈관 위치를 분석하지만, 최종 판단은 의료진의 임상 경험에 달려 있습니다. 최신 장비와 숙련된 의료진이 함께 갖춰져야 네비게이션 임플란트의 장점을 제대로 살릴 수 있습니다.
블랑쉬치과에서는 단순히 “네비게이션이 가능하다”는 설명이 아니라, 해당 케이스에서 네비게이션이 왜 필요한지 혹은 필요하지 않은지까지 임상 기준에 따라 안내합니다.
환자 중심의 맞춤형 치료 계획 수립 여부

네비게이션 임플란트의 핵심은 환자 상태에 맞춘 치료 계획 수립입니다. 3D CT와 구강 스캔으로 임플란트의 위치·각도·깊이를 시뮬레이션하고, 신경관·혈관·주변 치아를 종합적으로 검토합니다. 신경관이 가깝거나 뼈가 부족한 경우, 고령이거나 전신 질환이 있는 경우 네비게이션으로 예측 가능성을 높일 수 있습니다.
블랑쉬치과는 모든 임플란트에 네비게이션을 적용하지 않고, 필요한 케이스와 그렇지 않은 케이스를 구분해 가장 합리적인 방식을 안내합니다.
사후 관리 시스템 및 보증 여부

임플란트는 시술 후 관리가 수명에 더 큰 영향을 미치는 치료입니다. 정기적인 점검 없이는 임플란트 주위염 등 합병증이 발생할 수 있으므로, 사후 관리 시스템과 보증 기준을 반드시 확인해야 합니다. 10~20년 후 교체가 필요할 수 있고, 그 전에도 지속적인 관리가 요구되므로 안정적으로 운영되며 책임지는 치과를 선택하는 것이 중요합니다.
블랑쉬치과는 임플란트 사후 보증 시스템과 정기 관리 프로그램을 갖추고 있으며, 4인의 전문의 원장들이 모든 진료를 상의해 진행함으로써 단기 결과보다 장기적인 안정성과 유지 관리를 기준으로 치료를 안내하고 있습니다.
임플란트 100대 명의 선정, 블랑쉬치과로 문의주세요

네비게이션 임플란트는 모든 사람에게 반드시 필요한 시술이 아니며, 모든 경우에 무절개로 가능한 치료도 아닙니다. 중요한 것은 내 상태에서 네비게이션이 정말 필요한지, 그리고 어떤 방식이 가장 안전하고 합리적인 선택인지를 제대로 설명해주는 치과를 만나는 것입니다.
블랑쉬치과에서는 네비게이션 임플란트를 권하는 상담이 아니라 필요 여부를 판단해주는 상담을 진행합니다. 과잉 없이 기준을 가지고, 본인에게 맞는 임플란트 치료가 궁금하시다면 상담을 통해 직접 확인해보시기 바랍니다.